超人谈超声——胆囊息肉
这年头,作为一个混迹于都市“灯红酒绿”的打工人,谁还不曾拥有体检“三兄弟”:结节、囊肿、息肉。
今天,我们就一起来了解一下“胆囊息肉”。
什么是“胆囊息肉”?
胆囊息肉是指起源于胆囊壁,向胆囊腔内突出或隆起的病变,有蒂或无蒂。一般分为肿瘤性息肉和非肿瘤性息肉,由于术前难以明确性质,故统称为“胆囊息肉样病变”。
胆囊息肉有什么症状?
胆囊息肉一般无明显症状,很多人是在体检时通过超声检查偶然发现的,部分人可以出现以右上腹疼痛为主的症状。
胆囊息肉会癌变吗?
绝大多数胆囊息肉是良性的!
给大家看看指南里是怎么说的。
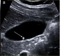
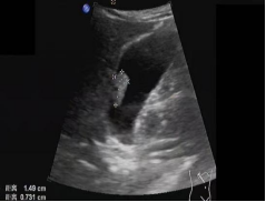
胆囊息肉应该做什么检查?
首选检查为超声检查,该检查无创、方便易行、廉价,对息肉的形态、血流有很好的判断,尤其对胆囊胆固醇沉积症、胆囊腺肌症等有独特的影像显示,是常规体检、随访的必备检查。

发现胆囊息肉怎么办?
最大径<5mm的无症状胆囊息肉
定期复查,每半年至一年进行一次超声检查。出现临床症状或合并胆囊癌危险因素时,应及时行胆囊切除术。
最大径为6-9mm的无症状胆囊息肉
超声检查未探及血流信号,密切随访,每半年至一年进行一次超声检查。
出现临床症状或合并胆囊癌危险因素时,应及时行胆囊切除术。
最大径>10mm的胆囊息肉,应行胆囊切除术;
出现临床症状、合并胆囊结石的胆囊息肉,应行胆囊切除术
如超声检查探及血流信号,则肿瘤性息肉可能性大,不论息肉大小,应及时行胆囊切除术。
总的来说,并不是所以胆囊息肉都会给我们的身体健康造成严重影响,所以不必慌张,定期复查,听从医生的建议,做一个快乐且“有胆”的打工人。