乐鱼online(中国)

当前位置: 首页乐鱼online(中国)科室动态 → 正文

科室动态

当前位置: 首页 > 乐鱼online(中国) > 科室动态 > 正文

新技术 神经内镜套筒辅助下脑血肿清除术

发布日期:2019-06-12    作者:宣传科 王艳    来源:     点击:[]

新技术!市中心医院完成一例神经内镜套筒辅助下脑血肿清除术

近日,乐鱼手机站入口神经外科二病区成功完成一例神经内镜套筒辅助下脑血肿清除术。

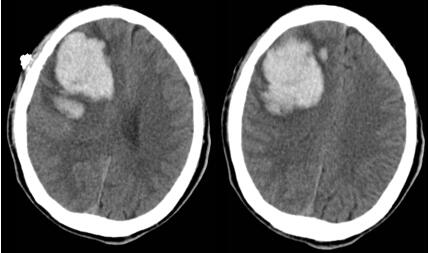
患者王某,男,61岁,入院前突发左侧肢体活动不灵伴意识障碍2小时。查体时显示神志不清,昏迷状态,头颅CT结果显示:右侧基底节区脑出血约40ml。

入院后,在白西民主任、姚胜副主任组织下,党俊涛主任医师及冯毅副主任医师协作,由杜春亮主治医师、王小峰医师及王举医师实施手术。避开重要的血管和神经,取右额平行于中线纵形切口长约4cm,骨窗直径2.5cm,经额叶顺穿刺将套筒准确置入患者大脑深部的血肿腔,建立供内镜通过的微小孔道,再置入圆珠笔芯粗细内镜,以提供良好的照明和视野,很快就准确彻底地清除了深藏脑内的淤血。术后CT显示血肿清除干净,目前患者神志清楚,已康复出院。

据了解,内镜套筒辅助清除术,是通过一个微小的孔道,在内镜直视下清除脑内淤血,避免了传统开颅手术的损伤和钻孔引流手术的盲目,能有效止血、迅速清除血肿,更加符合微创和安全的原则。这一微创技术在医院的进一步推广,将革新传统脑出血的手术理念,并使更多的脑出血患者受益。