11月8日下午,内窥镜室准备为一名肠道狭窄患者实施肠道狭窄球囊扩张治疗。患者48岁,既往9月前因直肠淋巴瘤在外科行剖腹探查、小肠部分切除、乙状结肠部分切除,直肠肿物切除、小肠减压、阑尾切除术,术后在血液科化疗四次。4月前该患者排便不畅,行结肠镜检查提示:吻合口狭窄,但患者大便还可勉强通过。近日腹胀加重,大便难以排出,故入院于11月8日拟行肠镜下吻合口狭窄球囊扩张术。
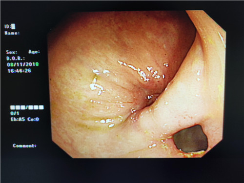
在检查过程中,当曹鹏主治医师将内镜进至吻合口狭窄处时,却偶然发现狭窄部位旁边还有一小小入口,探镜而入,发现这条小小隧道与狭窄部一同通向肠腔,中间相隔了一条不宽不窄的“桥梁”,把本来通畅的“大路”隔成了两条幽径小道,因此患者排便才会堵塞不通。经过反复观察,仔细斟酌后曹鹏医生萌生了,把“桥梁”拆掉,使“曲径小路”变“宽敞大道”的想法。因为这时如果按原计划行肠镜下吻合口扩张术已经没有太大的意义,但肠道薄弱容易造成穿孔,“桥梁”处是否有大的血管,存在出血、穿孔的风险等等,这些都需要与主管医生进一步探讨。随即他与普通外科史和平主任,消化内镜室王莹主任会诊后决定实施“粘膜桥离断术”(ESD内镜下粘膜剥离术)。将术中风险及意外向患者及家属充分告知后,征得患者家属同意签字,随后便开始施行手术。在史主任、王主任、李侠护士长的支持保驾护航之下,曹鹏医生以精湛的医疗技术,与护士的默契配合,顺利完成了手术,术中无出血、穿孔,眼前显示器屏幕上出现了预期中的“宽敞大道”,手术成功了!大家原本绷紧的面容出现了笑容。患者从此以后不会再有排便不畅的痛苦了,患者唐某及家属,欣喜及感激之情溢于言表,医生们再一次为他解决了一件大事情,患者术后恢复良好。
这次手术从发现到术式的改变,体现了当下微创治疗的优势,在内镜下可以完成形式多样的创伤小,恢复快的的手术。目前,内镜下微创治疗正在以突飞猛进的速度发展,势必为广大患者带来更大更多的福音。
