众所周知,乳腺癌已成为危及广大妇女健康和生命的“红颜杀手”。全世界每年患乳腺癌的妇女多达120万人,且发病率以每年0.2%~8%的速度上升。我国妇女患乳腺癌的人数不断上升,每年死于乳腺癌的患者有万余人,尤其是在一些经济发达的地区和大城市,乳腺癌高居于女性恶性肿瘤的第一位。乳腺疾病已成为女性健康第一隐患。
为了完善乳腺检查,早期诊断,为临床及时正确的手术治疗提供可靠的信息,在院领导的关心和支持下,在肿瘤外科和设备科的大力协作下,医院购买了原装进口西门子磁共振乳腺专用线圈,科室选派优秀骨干在省肿瘤医院进行新业务学习培训,并成功开展乳腺MR检查及诊断,完善了我院乳腺疾病的检查和诊断手段,提高了乳腺疾病的诊治水平。特别是乳腺癌的早期诊断,填补了我市乳腺磁共振检查的空白。
磁共振检查的软组织分辨率高,安全无创,其检查敏感性高于乳腺X线检查及超声,能三维立体的观察病变,不仅能够提供病灶的形态学特征,而且运用动态增强还能提供病灶的血流动力学情况,对乳腺疾病的诊断及病灶的检出达到了一个新的高度,在国外及国内一些大城市已经广泛应用于乳腺癌的早期诊断。
1.双侧乳腺同时成像,可对乳腺做基础分型。对腺体病变有较高的敏感性,特别是致密型乳腺、乳腺癌术后局部复发。
2.用于X线和B超检查无法确诊的病变。当乳腺X线或B超检查结果模棱两可难以确诊时,使用磁共振检查可以提供更多的信息,为鉴别诊断提供有力的证据。
3.MRI断层及任意三维成像,使病灶定位更准确。在检出乳腺高位、深位、多中心、多灶性病变以及致密乳腺内病变有优势明显。
4.对已明确乳腺恶性肿瘤患者,乳腺MRI检查可针对病变的定位及其与周围组织关系、有无前哨淋巴结转移做出较好侧评估,为临床制定治疗计划提供可靠依据。
5.MRI动态增强检查可了解病变的血流灌注情况,有助于评价病变的良恶性。
6.腋窝转移伴原发灶不明:对于腋窝转移性淋巴结,而临床检查、钼靶及超声检查都为阴性的患者,MRI有助于发现乳腺内隐匿的癌灶,确定其位置和范围,以利于进一步治疗,MRI检查阴性可以帮助排除乳腺原发癌灶,避免不必要的全乳切除。
7.乳房成形术后:乳房假体植入术后乳腺X线摄影评估往往困难,MRI在植入假体完整性的评价及合并乳腺癌的检查方面均有优势。
8.爱美之心人皆有之, 打算做保留乳房手术的病人。保留乳房治疗的意义在于:在完全去除肿瘤病灶的同时保留满意的乳房外形。国际上近30多年的多项研究表明,对于严格选择的病例,保留乳房治疗的远期生存效果等同于全乳房切除。但是常规乳腺X线摄影及B超往往低估肿瘤的范围,对多中心及多部位病灶显示不全,在做磁共振检查后可能还会在乳腺的其它部位发现另外的病灶。对于这样的病人就应该做全乳切除术,而不是保乳手术。美国的研究表明,大概有40%做保乳手术的病人因为低估手术范围,从而导致局部复发。因此,对于乳腺X线摄影怀疑有乳腺癌的病人,或者经穿刺活检确诊为乳腺癌的病人,如想保留乳房,建议在手术前做乳腺磁共振检查。
9.高危人群筛查。采用磁共振检查对高危人群进行筛查比其他影像学检查更加容易发现可疑病灶,可做到早期诊断、早期处理。乳腺癌高危人群的定义是:既往有乳腺癌病史;亲属有患乳腺癌史;有BRCA基因突变者;曾行乳腺活检,经病理证实为不典型增生;小叶原位癌;放射状瘢痕;曾因淋巴瘤行斗篷野放疗的病人。
10.对乳腺癌新辅助化疗反应的评价。传统的手术后辅助化疗,由于无法预测疗效,有相当的盲目性,无法达到治疗目的。新辅助化疗在手术治疗前进行,可以通过观察病灶对治疗的反应,判断治疗方案是否有效。化学治疗可导致乳腺纤维化,降低了临床触诊和乳腺X线检查的敏感性。磁共振检查可根据病灶对比增强的降低来判断化疗反应,这种方法对检查化疗后反应具有较高的敏感性。



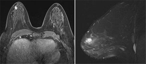
这是医院检查首例乳腺MRI,分别通过T1、T2、动态增强及TIC图对病变进行分析,诊断该病患右侧乳腺于乳头后上方病变为良性肿瘤,术后病理证实为纤维腺瘤。
近年来,CT&MR在大家的共同努力下,影像检查设备的更新,新的检查手段、新业务不断开展,疾病的早期诊断得到提高,疑难病例的诊断符合率稳步提高,得到了院内、外的一致认可和好评。在今后,科室全体人员将会继续精益求精,克难攻坚,不断推动学科的发展壮大,为渭医更加强大,为人民的健康做出应有的贡献。
乳腺MR检查预约及咨询请联系CT&MR诊断室 0913-2168423 2168677