9月2日,乐鱼手机站入口胸外科成功为一名66岁男性患者实施胸腔镜剑突下胸腺肿瘤切除术。患者术后恢复良好,已顺利出院。

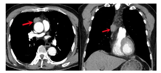
患者刘先生此前因前纵隔发现约3公分肿物前来就诊。CT显示肿物紧贴心脏大血管,不排除恶性可能,具备明确手术指征。考虑到患者对传统开胸手术存在顾虑,李卫国副主任医师耐心解释纵隔肿物远期危害及手术必要性,并详细介绍“免管”胸腔镜剑突下切除方案。该术式创伤小、疼痛轻,符合快速康复理念,患者及家属同意手术。

手术由李卫国副主任医师主刀,蒋文杰主管医师担任第一助手,在王宏涛教授指导及麻醉手术科师秋茹医师配合下,历经1个半小时顺利完成。术后病理证实为胸腺良性肿瘤。
胸腔镜剑突下胸腺切除术是当前前纵隔肿瘤的理想术式,较传统术式具有创伤小、恢复快、住院时间短等优点。该手术仅需在剑突下开一2-3厘米观察孔和两个5毫米操作孔,即可完成胸腺全部切除及前纵隔脂肪清扫,在确保手术效果的同时最大限度减少创伤。

该手术采用“免管”微创技术,术中不插气管插管,术后不留置胸腔引流管,显著减轻了患者痛苦,加快了康复进程。

李卫国副主任医师提醒,纵隔肿瘤早期常无明显症状,但周围涉及心脏、大血管等重要器官,一旦发现应尽早至专业医院诊治。微创手术适合绝大多数原发性纵隔肿瘤,是患者的理想选择。建议市民定期体检,做到早发现、早治疗。